
دکتر مریم احمدی
تمرکز بر زیبایی و هماهنگی دندانها با جدیدترین روشهای ارتودنسی.
ارتودنسی تنها برای مرتبکردن دندانها نیست؛ بلکه روش تخصصی برای ایجاد هماهنگی در فک و بهبود سلامت دهان بهشمار میآید. زمانی که دندانها در جای درست قرار گیرند، لبخند طبیعیتر دیده میشود و عملکرد جویدن و گفتار هم بهتر میشود. کلینیک ستاره شرق در تهرانپارس با بهرهگیری از بهترین متخصص ارتودنسی تهرانپارس و جدیدترین فناوریهای دندانپزشکی، خدمات ارتودنسی را ارائه میدهد که هم نتیجهای قابل پیشبینی دارد و هم تجربهای مطمئن برای بیمار ایجاد میکند.

ارتودنسی مسیری کوتاهمدت نیست و ممکن است سالها ادامه یابد و نیازمند پیگیری دقیق و حرفهای باشد. بههمین دلیل، سپردن این مسیر به یک متخصص ارتودنسی در تهرانپارس که تجربه، دانش و نگاهی دقیق به جزئیات داشته باشد، بسیار مهم است.
یک دکتر ارتودنسی خوب باید فراتر از نصب براکتها عمل کند. او ابتدا با بررسی کامل وضعیت فک و دندانها، بهترین روش درمان را انتخاب میکند، سپس در طول درمان همراه بیمار باقی میماند تا کوچکترین تغییرات هم بهدرستی مدیریت شوند. شفافیت در توضیح مراحل، توانایی در استفاده از روشهای نوین و ایجاد حس آرامش برای بیمار، از ویژگیهای یک دکتر ارتودنسی تهرانپارس است.
در این مرکز، بهترین متخصص ارتودنسی تهرانپارس با دانش روز و تجربه بالینی گسترده به بیماران خدمات ارائه میدهد. بهرهگیری از روشهای علمی و استاندارد، باعث شده است تا این کلینیک به انتخاب اول بسیاری از مراجعان تبدیل شود.
ارتودنسی تنها یک روش ندارد؛ بستهبه شرایط دندان و فک، گزینههای مختلفی در دسترس است. در مرکز ارتودنسی تهرانپارس، پس از مشاوره اولیه، بهترین انتخاب به بیمار معرفی میشود:
متداولترین روش است که با براکتها و سیمها انجام میشود. این روش برای درمانهای جدی و طولانیمدت بهترین انتخاب است. البته بیمار باید مراقبت بیشتری از بهداشت دهان داشته باشد تا از پوسیدگی و لکهدارشدن دندانها جلوگیری شود.
برای اصلاح مشکلات خفیف یا در سنین پایین کاربرد دارد. مزیت آن این است که بیمار میتواند دستگاه را هنگام غذاخوردن یا مسواکزدن خارج کند.
روشی نوین برای افرادیست که تمایلی به دیدهشدن براکتها ندارند. پلاکهای شفاف تقریبا نامحسوس هستند و میتوان آنها را بهراحتی خارج کرد.
در این روش، براکتها در پشت دندان قرار میگیرند و از نمای روبهرو قابل مشاهده نیستند. این روش برای کسانی مناسب است که ظاهر لبخندشان در طول درمان اهمیت ویژهای دارد، هرچند نصب و نگهداری آن کمی پیچیدهتر است.
هزینه ارتودنسی تحت تأثیر عواملی مانند نوع روش درمان، پیچیدگی ناهنجاری و طول مدت درمان قرار دارد. طبیعی است که روشهای پیشرفته مانند ارتودنسی نامرئی هزینه بیشتری نسبت به ارتودنسی فلزی داشته باشند. برای سهولت بیماران، کلینیک ستاره شرق امکان ارتودنسی اقساطی در تهرانپارس را فراهم کرده است تا هیچکس بهدلیل محدودیت مالی، درمان خود را به تعویق نیندازد.
هر مرکز درمانی نقاط قوت خاص خودش را دارد. در مورد ستاره شرق، سه ویژگی برجسته بیشتر از همه به چشم میآیند که در ادامه آنها را مرور میکنیم.
قبل از هر چیز، مشاوره اولیه با متخصص ضروری است. در این مرحله سلامت دندانها و لثهها بررسی میشود و اگر مشکل دیگری مانند پوسیدگی وجود داشته باشد، ابتدا باید درمان شود.
مدتزمان ارتودنسی معمولا بین یک تا سه سال است. آگاهی از این بازه زمانی و آمادگی برای جلسات پیگیری منظم، به بیمار کمک میکند با دیدی روشنتر درمان را آغاز کند.

کلینیک ستاره شرق بهواسطه حضور بهترین متخصص ارتودنسی در تهرانپارس شناخته میشود. پزشکان این مرکز علاوهبر مدارک تخصصی معتبر، تجربه درمان بیماران متنوع در سنین مختلف را دارند. همین موضوع باعث شده است درمانها با دقت بالا و نتیجه مطلوب انجام شود.
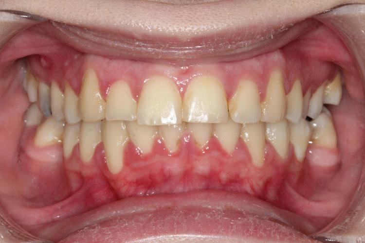
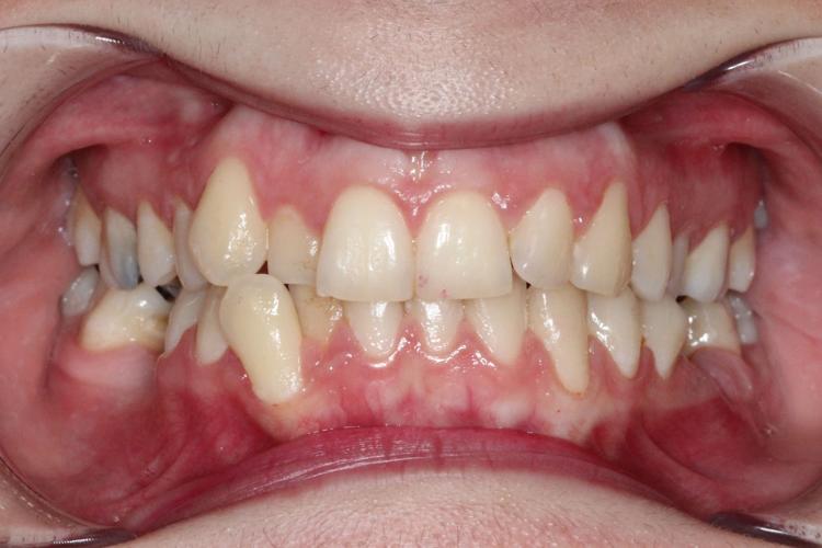
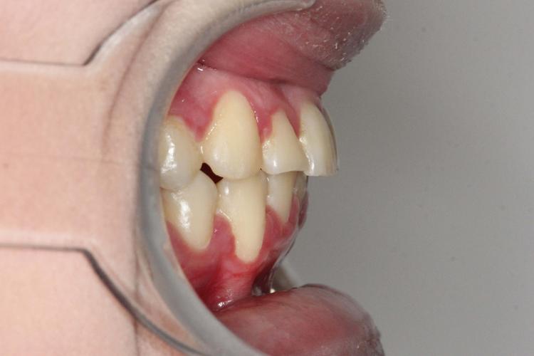
تصاویر قبل و بعد از درمان و رضایت بیماران، نشاندهنده کیفیت خدمات این مرکز است. بسیاری از بیماران پس از پایان درمان، علاوهبر لبخند زیبا، افزایش اعتمادبهنفس و بهبود عملکرد دهان و فک را تجربه کردهاند.

تمرکز بر زیبایی و هماهنگی دندانها با جدیدترین روشهای ارتودنسی.
اگر بهدنبال بهترین متخصص ارتودنسی در تهرانپارس هستید، کلینیک ستاره شرق آماده است تا همراه شما در مسیر رسیدن به لبخندی سالم و زیبا باشد. همین امروز برای مشاوره وقت بگیرید و با شرایط پرداخت اقساطی و بهرهگیری از فناوریهای مدرن، درمان خود را بدون نگرانی آغاز کنید.
هزینه ارتودنسی به نوع روش (ثابت، متحرک یا نامرئی)، شدت ناهنجاری و مدتزمان درمان بستگی دارد. در کلینیک ستاره شرق امکان ارتودنسی اقساطی در تهرانپارس نیز فراهم شده است.
بله؛ تمام مراحل درمان با استفاده از ابزارهای پیشرفته و روشهای نوین انجام میگیرد.
بله؛ این روش در کلینیک ستاره شرق ارائه میشود و یکی از محبوبترین انتخابها میان بیماران است.
تیم کلینیک دندانپزشکی ستاره شرق با شعار هوشمندانه انتخاب کنید و بی پروا بخندید با بکار گیری کادر اداری و درمانی متعهد،متخصص،دقیق و آموزش دیده با حضور بهترین دندان پزشکان ماهر و با تجربه آماده خدمات رسانی با بهترین کیفیت به شما عزیزان میباشد.
© تمام مطالب وبسایت برای ستاره شرق محفوظ است.
اطلاعات تماس
تهران، خیابان مدنی شمالی، نبش خیابان حیدری، ساختمان الوند، پلاک ۱۰۸۶/۲، طبقه سوم
روی عبارت زیر کلیک کنید تا کپی شود و در سرچ اسنپ وارد کنید
کلینیک دندانپزشکی ستاره شرقتیم کلینیک دندانپزشکی ستاره شرق با شعار هوشمندانه انتخاب کنید و بی پروا بخندید با بکار گیری کادر اداری و درمانی متعهد،متخصص،دقیق و آموزش دیده با حضور بهترین دندان پزشکان ماهر و با تجربه آماده خدمات رسانی با بهترین کیفیت به شما عزیزان میباشد.
© تمام مطالب وبسایت برای ستاره شرق محفوظ است.
اطلاعات تماس
تهران، خیابان مدنی شمالی، سه راه لشکر، نبش خیابان حیدری، ساختمان الوند، پلاک ۱۰۸۶/۲، طبقه سوم