
از دست دادن دندان شیری همیشه یک اتفاق ساده نیست. اگر فضای خالی ناشی از آن حفظ نشود، دندانهای دائمی ممکن است کج یا نهفته شوند. این مشکل نهتنها ظاهر دندانها را تحت تأثیر قرار میدهد، بلکه میتواند منجر به نیاز به درمانهای پیچیدهتر مانند ارتودنسی شود.
فضا نگهدارنده دندان کودک راهحلی موثر برای جلوگیری از این مشکلات است. در این مقاله، به بررسی مزایا و مراحل استفاده از آن میپردازیم. به مطالعه این مقاله ادامه دهید تا اطلاعات بیشتری کسب کنید.
فضا نگهدارنده دندان کودک چیست؟
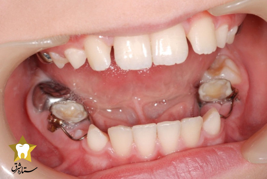
فضا نگهدارنده دندان یا Tooth retainer space، وسیلهای تخصصی در دندانپزشکی کودکان است که برای حفظ فضای خالی ناشی از افتادن یا کشیدن زودهنگام دندان شیری طراحی شده است. این ابزار از حرکت دندانهای مجاور به سمت فضای خالی جلوگیری میکند و فضای کافی برای رویش دندانهای دائمی فراهم میسازد.
بدون استفاده از آن، ممکن است دندانهای دائمی بهصورت کج و نامرتب رشد کنند که نیاز به درمانهای ارتودنسی پیچیده در آینده را افزایش میدهد. فضا نگهدار دندان میتواند به دو شکل ثابت و متحرک طراحی شود. انتخاب نوع مناسب به عواملی مانند سن کودک، تعداد دندانهای ازدسترفته و محل آنها بستگی دارد. استفاده صحیح از این وسیله علاوه بر کاهش هزینههای ارتودنسی آینده، باعث میشود دندانهای دائمی به شکل منظم و در محل طبیعی خود رشد کنند.
چرا فضا نگهدارنده دندان برای کودکان ضروری است؟
حفظ فضای خالی دندان شیری برای رویش صحیح دندانهای دائمی بسیار حیاتی است. در مواردی که دندانهای شیری به دلیل پوسیدگی، ضربه یا مشکلات ژنتیکی از دست میروند، ممکن است دندانهای دیگر حرکت کنند و فضای خالی را اشغال کنند. این مسئله میتواند باعث بههمریختگی دندانها و مشکلات فکی شود.
براساس آمار، حدود 35 درصد از کودکان به دلیل افتادن زودهنگام دندان شیری نیاز به استفاده از این محصول دارند. این وسیله مانع از ایجاد مشکلات پیچیده در آینده میشود و احتمال نیاز به جراحی یا ارتودنسی طولانیمدت را کاهش میدهد. علاوه بر این، فضا نگهدارنده به بهبود سلامت کلی دهان و دندان کودک کمک کرده و از مشکلات تغذیه و گفتار جلوگیری میکند.
انواع فضا نگهدارنده دندان کودکان
فضا نگهدارندهها در دو نوع کلی ثابت و متحرک وجود دارند. هر نوع دارای ویژگیها و مزایای منحصربهفردی است که دندانپزشک بر اساس نیاز کودک آنها را تجویز میکند.
فضا نگهدار متحرک
فضا نگهدار متحرک شباهت زیادی به ارتودنسی متحرک دارد و برای کودکانی که توانایی مراقبت از دهان و دندان خود را دارند مناسب است. این وسیله از جنس آکریلیک ساخته میشود و باید روزانه حداقل 14 ساعت استفاده شده و بعد از هر وعده غذایی باید شسته شود. علاوه بر این ها بهتر است در زمان استفادهنشدن درون آب نگهداری شود.
فضا نگهدار ثابت
فضا نگهدار ثابت با استفاده از چسبهای مخصوص به دندان متصل میشود و قابلیت جابهجایی توسط کودک را ندارد. این نوع بیشتر برای کودکانی که دندانهای عقبی خود را از دست دادهاند مناسب است. انواع مختلفی از فضا نگهدار ثابت وجود دارد که در ادامه توضیح داده میشوند.
فضا نگهدار یکطرفه
این نوع فقط از یک سمت دندان پشتیبانی میکند و مناسب مواردی است که دندان شیری یک سمت فک ازدسترفته باشد.
فضا نگهدار روکش و حلقه
این وسیله از جنس فولاد ضدزنگ ساخته میشود و به دندان کناری متصل است. کاربرد اصلی آن جلوگیری از حرکت دندانهای مجاور به سمت فضای خالی است.
دریافت نوبت آنلاین
فضا نگهدار دیستال شو
این نوع برای حفظ فضای دندان آسیاب دائمی اول استفاده میشود. برای ساخت آن، قالبگیری دقیق از دهان کودک انجام میشود و سپس در لابراتوار ساخته میشود.
فضا نگهدار زبانی یا لینگوال
این وسیله با استفاده از سیمی که در پشت دندانها قرار میگیرد، از حرکت دندانهای پشتی به سمت فضای خالی جلوگیری میکند.

مراحل درمان با فضا نگهدار دندان
فرآیند درمان با فضا نگهدار دندان شامل چند مرحله اساسی است که توسط دندانپزشک انجام میشود:
- معاینه و تشخیص: دندانپزشک وضعیت دهان و دندان کودک را بررسی میکند تا نیاز به فضا نگهدار را تعیین کند.
- قالبگیری: از دندانها قالبگیری دقیق انجام میشود تا وسیله با اندازه مناسب ساخته شود.
- ساخت وسیله: فضا نگهدار در لابراتوار دندانپزشکی ساخته میشود.
- نصب: وسیله به دندان کودک متصل میشود و آموزشهای لازم به والدین داده میشود.
- پیگیری و مراقبت: معاینات دورهای برای اطمینان از عملکرد صحیح وسیله انجام میشود.
فواید استفاده از فضا نگهدارنده دندان کودک
استفاده از فضا نگهدارنده دندان مهم است چرا که این ابزار نهتنها سلامت دهان و دندان را تضمین میکند، بلکه مانع ایجاد مشکلات پیچیدهتر در آینده میشود. فضا نگهدار دندان در مراحل اولیه رویش دندانهای دائمی کمک شایانی میکند و مشکلات ناشی از نبود دندان شیری را کاهش میدهد.
تأثیر استفاده از فضا نگهدارنده دندان بر کاهش مشکلات دندانی در کودکان
| توضیحات | مشکل احتمالی |
| استفاده از فضا نگهدارنده دندان فضای لازم برای رویش صحیح دندانهای دائمی را حفظ میکند. | کج شدن دندانهای دائمی |
| با پیشگیری از مالاکلوزی، هزینه و زمان درمانهای پیچیده کاهش مییابد. | نیاز به درمانهای ارتودنسی |
| جلوگیری از مسدود شدن مسیر رویش دندانها با حفظ فضای مناسب امکانپذیر است. | نهفته شدن دندانهای دائمی |
| با حفظ تعادل دهانی، مشکلات مرتبط با تلفظ و گفتار کاهش مییابد. | مشکلات گفتاری ناشی از جابهجایی دندانها |
جلوگیری از مشکلات بعدی در روند رشد دندانهای دائمی
فضا نگهدارنده دندان کودک از حرکت غیرطبیعی دندانهای مجاور به فضای خالی جلوگیری میکند. این عمل، فضای لازم برای رویش دندانهای دائمی را حفظ کرده و مانع کج شدن یا نهفته شدن دندانها میشود.
پیشگیری از مالاکلوزی (بههمریختگی دندانها)
یکی از فواید اصلی این وسیله، پیشگیری از ایجاد مالاکلوزی است. مالاکلوزی میتواند باعث مشکلاتی در جویدن، گفتار و زیبایی چهره شود. با استفاده از فضا نگهدارنده، دندانهای کودک در مسیر درست رشد میکنند.
تسهیل در روند درمان و کاهش نیاز به درمانهای پیچیدهتر
این وسیله درمانهای ارتودنسی آینده را سادهتر میکند. استفاده از فضا نگهدارنده احتمال نیاز به درمانهای طولانیمدت و پرهزینه را کاهش میدهد. علاوه بر این، میتواند زمان و هزینه لازم برای اصلاح موقعیت دندانها را به حداقل برساند.
محدودیتهای استفاده از فضا نگهدارنده دندان
هرچند فضا نگهدار دندان مزایای زیادی دارد، اما استفاده از آن با محدودیتهایی همراه است. یکی از این محدودیتها، نیاز به رعایت بهداشت دهان و دندان است. کودکانی که نمیتوانند بهدرستی از این ابزار مراقبت کنند، ممکن است دچار عفونت یا پوسیدگی دندان شوند. همچنین، برخی کودکان ممکن است در روزهای ابتدایی نصب آن، احساس ناراحتی کنند.
یکی دیگر از محدودیتها، هزینه این وسیله است. فضا نگهدارنده ممکن است برای برخی خانوادهها هزینهبر باشد و نیاز به مراقبتهای پیگیری منظم توسط دندانپزشک داشته باشد.
مراحل نصب فضا نگهدار دندان کودکان
- مشاوره و بررسی اولیه: دندانپزشک وضعیت دهان کودک را بررسی کرده و تصمیم میگیرد که آیا نیاز به فضا نگهدارنده وجود دارد یا خیر.
- قالبگیری: از دندانهای کودک قالبگیری میشود تا فضا نگهدارنده متناسب با اندازه و شکل دندانها طراحی شود.
- ساخت و نصب: پس از آمادهسازی، وسیله در جلسهای به دندان کودک متصل میشود. دندانپزشک نحوه مراقبت از آن را به والدین آموزش میدهد.
- پیگیری منظم: برای اطمینان از عملکرد صحیح فضا نگهدارنده، مراجعههای منظم به دندانپزشک توصیه میشود.

مراقبتهای پس از نصب فضا نگهدارنده دندان
مراقبت صحیح از این وسیله، نقش مهمی در موفقیت درمان دارد. والدین باید کودک را به رعایت موارد زیر تشویق کنند:
- مسواک زدن منظم: پس از هر وعده غذایی، دندانها و فضا نگهدارنده باید تمیز شوند.
- پرهیز از غذاهای سخت و چسبنده: مصرف این نوع غذاها میتواند به فضا نگهدارنده آسیب بزند.
- معاینات دورهای: والدین باید طبق برنامه دندانپزشک، کودک را برای بررسی وضعیت دستگاه به مطب ببرند.
قیمت فضا نگهدارنده دندان کودک
هزینه این محصول به عوامل مختلفی بستگی دارد. این عوامل شامل نوع فضا نگهدارنده (ثابت یا متحرک)، تعداد دندانهای درگیر و پیچیدگی طراحی آن است. همچنین، هزینه پیگیریها و معاینات دورهای نیز باید در نظر گرفته شود. برای اطلاع از آخرین قیمت فضا نگهدار دندان به صفحه تعرفه دندانپزشکی مراجعه کنید.
آیا فضا نگهدارنده دندان دردناک است؟
نصب و استفاده از این دستگاه، معمولاً بدون درد است. کودک ممکن است در روزهای اول نصب، کمی ناراحتی یا فشار احساس کند که این وضعیت در عرض چند روز برطرف میشود. درصورتیکه کودک دچار درد شدید شود، باید به دندانپزشک مراجعه کرد تا علت مشکل بررسی شود.
چند وقت باید از فضا نگهدارنده دندان استفاده کرد؟
مدتزمان استفاده از آن به نوع و وضعیت دندانهای کودک بستگی دارد. بهطور میانگین، کودکان باید بین 6 ماه تا 2 سال از این وسیله استفاده کنند. دندانپزشک براساس سرعت رویش دندانهای دائمی، مدتزمان دقیق را تعیین میکند.
جمعبندی
فضا نگهدار دندان کودک یکی از موثرترین ابزارها برای حفظ نظم دندانهای کودکان است. این وسیله با جلوگیری از حرکت دندانهای مجاور، فضای لازم برای رویش دندانهای دائمی را فراهم میکند. در این مقاله به اهمیت، کاربرد و انواع فضا نگهدارنده دندان پرداختیم. اگر کودک شما به این ابزار نیاز دارد، حتما با دندانپزشک متخصص مشورت کنید. برای اطلاعات بیشتر و دریافت مشاوره تخصصی، از مقالات وبلاگ کلینیک دندانپزشکی ستاره شرق دیدن کنید.
سوالات متداول
چه کسانی نیاز به فضا نگهدارنده دندان دارند؟
کودکانی که دندانهای شیری خود را زودتر از موعد از دست دادهاند یا با مشکلات رشد دندان مواجهاند، نیاز به این ابزار دارند.
کدام نوع فضا نگهدار برای دندان بهتر است؟
انتخاب نوع مناسب به محل دندان ازدسترفته، سن کودک و وضعیت دهان و دندان او بستگی دارد. دندانپزشک تصمیمگیری میکند.
کاربرد فضا نگهدار در درمانهای ارتودنسی چیست؟
فضا نگهدار بهعنوان ابزاری پیشگیرانه در درمانهای ارتودنسی استفاده میشود تا نظم دندانها حفظ شود و نیاز به درمانهای سنگین کاهش یابد.
آخرین به روزرسانی در 24 آذر 1404 توسط تیم نویسندگان ستاره شرق


